Insights into My Journey as an Imaging Analysis Research Assistant
My time exploring neurocognitive science and the never-ending supply of data surrounding it has been a remarkable experience. As an Imaging Analyst at the University Neurocognitive Imaging Center not too far away from UCI, I have been privileged to contribute to groundbreaking studies that dive deep into the intersection of neuroscience and the legal system.
Conducting Imaging Statistical Analyses
One of the most impactful aspects of my work has been substantiating correlations between cognitive impairment and physical abnormalities in the brain. Through data analysis, I have been able to identify significant links that help in understanding how structural changes in the brain can affect cognitive functions.
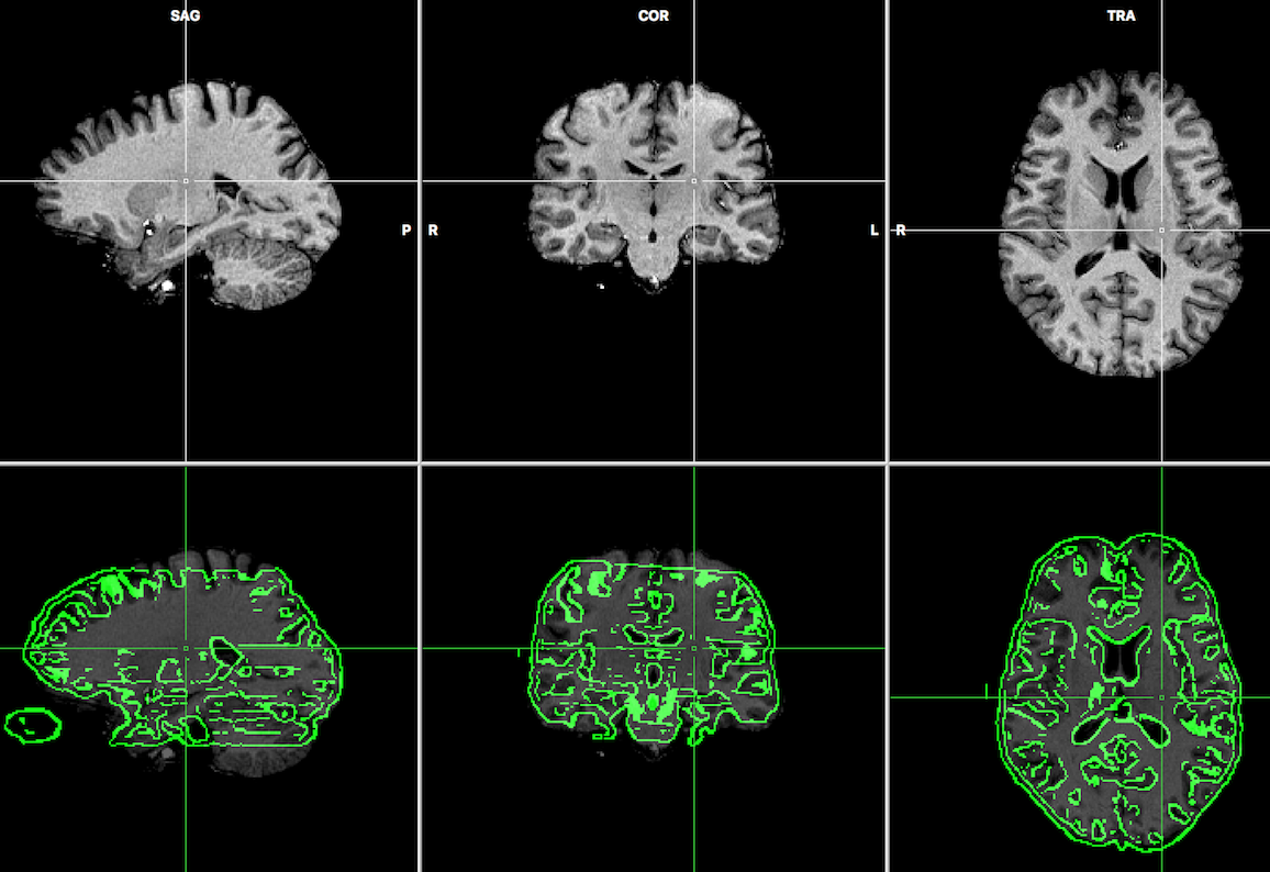
A significant part of my role involved conducting statistical analyses of Positron Emission Tomography (PET) and Diffusion Tensor Imaging (DTI) scans. Using exploratory tools such as MATLAB and Statistical Parametric Mapping (SPM) versions 5, 8, and 12, I analyzed complex DICOM and NIfTI files to uncover patterns between brain region abnormalities.

Additionally, I assisted in the creation of z-score maps, drawing of region of interest (ROI) boundaries, and optimizing the data wrangling pipeline from the initial extraction of imaging data from discs all the way to the final heatmaps.

Real-World Impact: Supporting Evidence in Criminal Trials
A particularly fascinating aspect of this role was observing how our research informed criminal trials. Our findings provided critical evidence for three cases, illustrating the link between cognitive impairment and brain abnormalities. I contributed to the preparation of detailed reports used in court, ensuring that our data was presented clearly and the statistical significance of our findings was robust. Beyond case-specific work, I contributed to the creation of manuals aimed at standardizing our lab procedures such as image transformations and region plotting, in hopes of maintaining consistency in our analyses and supporting future research endeavors.
